Дневники

Поехали!

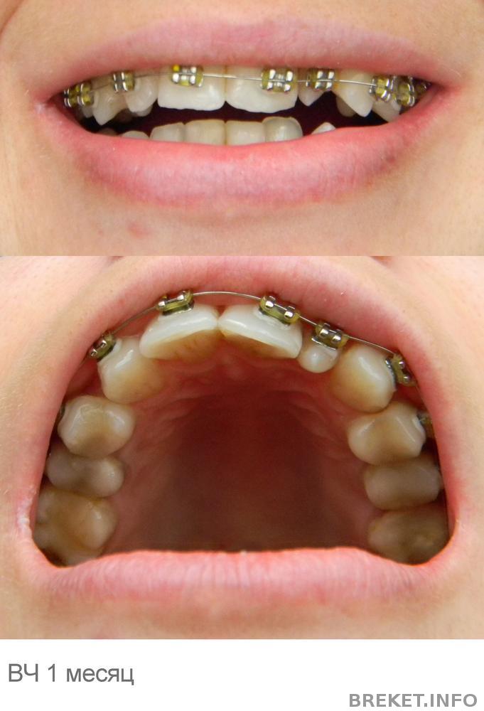
Итак, с 10 мая 2014 года начинается мое преображение.
Как-то не слушала я ни маму, ни ортодонтов в своё время, вот теперь получаю... Почти 21 год, рот в железках, как со свадьбой-то быть? :DD
Первое впечатление: "О, ужас!", сейчас уже привыкла к новому внешнему виду моих зубиков - уж лучше так и всего нескоторое время, чем всю жизнь с кривыми зубами и неправильным прикусом. Правда?))). С установки прошло 2 дня, зубы ноют, щеки натёрли, кушать не могу. Но я же понимаю, что если болят, значит процесс идёт.
Ставили пока только на ВЧ, остальное потом. Читать далее »

12.05.2014 - 09:35

Ставлю после свадьбы

Все выходные провела в размышлениях. Много читала (ваших дневников и комментариев). Тут еще жених сказал "нет!", "вдруг разболится или вдруг отвалится", "а что же ты и вепрево колено не поешь и хамона в испании"....хамон конечно пересилил.
Поэтому сразу после свадьбы и отпуска, в июне будем клеить.
Спасибо вам всем за советы и поддержку.
Научите красиво улыбаться "на камеру" с кривыми зубами)))

12.05.2014 - 08:52

Я ж так с ума сойду!!!

Товарищи брекетёры! Было ли у кого-нибудь подобное? Я всю жизнь абсолютно спокойно относилась к царапанью ногтями по штукатурке, к скрипу пенопласта по стеклу, вилкой по тарелке, мелом по доске и т.д., меня не перекашивало от таких звуков и не было ни капли раздражения. Но последние недели три - сущий ад! Появилась какая-то ненормальная сверхчувствительность. Я не знаю, что это и с чем связано, но даже мысль о скрежете и скрипе поднимает у меня все волосы и вызывает дрожь по позвоночнику. Читать далее »

12.05.2014 - 08:09

2 месяца на ВЧ. коллаж

полетело 2 месяца, результаты очевидны!

img_50888.jpg

все вокруг замечают, говорят что зубы уже почти ровные) смотрю на старые фото и просто поражаюсь с себя.. почему не поставила их раньше)

11.05.2014 - 23:38

уже месяца 4 я не вижу изменений(((

вот уже как 10 месяцев у меня стоят брекеты. Сначала все шло и двигалось активно и я радовалась результатам.но вот уже месяца 4-5 я не вижу изменений.с тех пор как место 4ок закрылось клыками практически.орт перестала мне какие -либо дополнительные тяги и пружины устанавливать.и все встало.по крайней мере так кажется.она поставила мне последний раз дугу мощную сказала ходить больше месяца с ней,так как зубы приняли неправильный наклон(как я поняла-вовнутрь наклонились из -за тяг и пружин) Читать далее »

11.05.2014 - 21:36

Результат или "Три,два,один!"

Еще 3 приема, на третьем снимаем....
Не верится, всего триииии!
Даже два) Отсчет скоро пойдет

.....

Интересно, у меня у одной такое депрессивное состояние после установки брекетов?
Хочется залезть в дальний угол, чтобы никто меня с ними не видел. Читать далее »

11.05.2014 - 17:27

МУДРОСТИ ЗУБЫ

Приехала в клинику, очередной хирург отказался сразу удалить зубы мудрости снизу. Назначил операцию на 8 утра в четверг и больше к нему не записывать. Что -то хочет пилить, что-то шить. В общем от страха хожу и жду этого ужаса. Не могу не кому объяснить свое состояние. Как в тумане.

11.05.2014 - 16:33

"зашили" рот тягами))

8мая была у орта, обрадовала меня сказав, что трейнер отработал свое и мы его забываем)) выдала тяги и показала схему ношения их) мягко сказать я была в шоке, даже чихнуть не могу с ними(( носить 10-12 часов непрерывно. Читать далее »

Прошел год, а разница как то не ощущается((

20140511_1445432.jpg
Здравствуйте, форумчане! Пишу сюда первый раз. Собственно перехожу к своей наболевшей теме или зубу(( двойка на вч никак не встанет на место, думала может стоит переклеить брекет выше, дабы спустить зуб ниже, а ортодонт отказывается. вот так мы и не сходимся во мнении. у кого были похожие случаи, может дадите совет)

11.05.2014 - 11:58