Дневники

А у вас есть ВРЕДНЫЙ зуб?!

Давно не заглядывала в дневник - время летит, пережить лето и уже год!
А собственно говоря, к чему я это все начала - в к тому, что у меня есть вредный зуб. Через неделю уже 7 месяцев, как я ношу БС на НЧ, а один единственный зуб, который так и не встал в ряд.
Честно говоря, с каждым новым приемом орта и с каждой новой сменой дуги, я жду не дождусь этого фееричного момента, когда моя вреднющая двойка встанет на положенное ей место..., но увы и ах... Читать далее »

11.05.2014 - 09:07

Тяги надоедают

Точнее, надоедают не тяги, а то, что они постоянно слетают( Я, конечно, иногда в них ем (хоть и не рекомендовали мне этого делать), но слетают они почему-то не только во время еды. Из-за этого могу пару часов без них ходить (когда поправить негде)
А ещё немного не по теме - мне интересно, кто смотрел Евровидение?) Как вам Кончита? По-моему, хорошее шоу вышло, очень смеялась А вот реакция наших огорчила - такой ушат помоев на неё... него... неё... вылили. Всё-таки, каждый волен быть самим собой, а голос у него... неё?... очень хороший

11.05.2014 - 02:37

Моя зубная история. Начало

Долго собиралась написать этот пост. Сегодня, покопавшись в папочках-бумажках, нашла панорамный снимок 10-15 летней давности, и вдохновилась... Читать далее »

по страшилке?>3>


Привет ребят!

писать не в тему ведь не запрещается?

Хотела у вас поинтересоваться:
Может кто поделится "страшными", "почти страшными" или "комичными" историями, которые происходили с вами или вашими знакомыми?

Наверняка ведь с вами случалось, что-то интересное и не всегда объяснимое?
Я просто обожаю такие истории, если кому интересно могу поделиться своими

______________________________
И собственно о насущном

Каюсь, мне было лень сфоткать панорамный снимок Читать далее »

Прием или ошибка

Всем привет)

Сегодня получила смс о том, что завтра у меня прием в 11-20, хотя по плану мой прием в следующий четверг в 18-20.
Сначала думала позвонить и уточнить, а сейчас решила сходить и переклеить брекет на единичке.
Как думаете стоит ли звонить ортодонту и говорить, что она ошиблась или идти в наглую на прием)
Мне же прислали смс приглашение))))

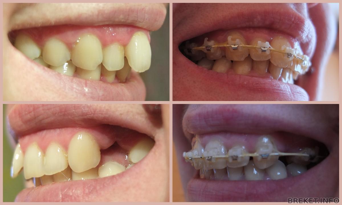
Тяги-тяги-тяги-тяги!!!!

Привет всем, особенно моим девчулям любимым!!!!!
Урааааа!!!!
Наконец-то мне выдали тяги!!!
О, май гадбл! Я думала этот день не настанет!
Девятый месяц уже пошел!!!
Неудобно, конечно, рот широко не откроешь, а я люблю булки и бутеры широко кусать...
Сегодня ели пиццу дома, так я ее резала на малюсенькие кусочки, как будто я на званом обеде в королевской семье.... Читать далее »

Молодцы!

5months.jpg

Сделала пятимесячный коллаж и сама в который раз поблагодарила саму себя за решение поставить брекеты Ну и молодцы же мы все тут собравшиеся!

09.05.2014 - 22:23

этот эпичный момент...

Наконец-то настал этот долгожданный момент снятия,после которого аж не верила отражению в зеркале...теперь постоянно наблюдаю изменения,боюсь искривлений....какая-то небольшая одержимость
Орт сказал,что пока не стоит расслабляться и воспринимать это как промежуточный этап.
Сейчас ношу закрепляющие пластины,5 месяцев ходить днем и ночью спать в них,затем просто спать ииии финиш!))
*прикрепляю фотки пластинок и коллаж(единственная нормальная фотка кривулек,где я еще сопля зеленая,ну и конечно свой прогресс) Читать далее »

Вот и месяц пролетел...

Всё!Уже не ощущаю брекетов,речь нормальная,кушаю хорошо
11 мая на прием,интересно что мне будут делать,не терпится
Наверно сделаю то,что буду страдать несколько дней

09.05.2014 - 20:10

Начало ортодонтического пути))

Доброго времени суток, уважаемые коллеги)))

Поздравляю всех с великим праздником – ПОБЕДЫ!!!!

Вот и мое время пришло, правда, оно должно было прийти уже давно…. Но, так сложилось, что только сейчас оно пришло…
Немного истории… Читать далее »