Дневники

Нужен совет!

Добрый день всем, всем! вот и я наконец решилась установить брекетульки. Шла к этому очень долго, но об этом как-нибудь позже расскажу. Девочки, поделилась опытом! Кто ставил себе clarity? Отзывов в интернете по ним катастрофически мало, 8-го я записана на слепки и уже нужно будет дать ответы какие брекеты я выбрала. Выбираю между clarity и inspire. Всем спасибо за внимание;)

28.04.2014 - 09:39

Установка БС на ВЧ

Вот и приблизилось 27 число, установка БС на ВЧ. Время пролетело быстро, были и есть проблемы, болеет котенок наш, постоянно по клиникам и т.д. На установку шла без настроения и особого желания, все мысли были о другом. Пришла. Т.к. сепарационные кольца выпали, с каждой стороны по штуки, на 6 кольца не одели, на 7 встали нормально, с них и начали. Посадили на цемент и начали клеить брекеты, не больно. Но когда дошла очередь до дуги, тут то я поняла все прелести БС. Зубы болят, не так что хочется лезть на стену, но сильно, больно нажимать, кусать и дотрагиваться до них. Читать далее »

28.04.2014 - 09:13

Главное - не впадать в уныние! Или "привет киста!"

В общем, на сегодня была перенесена операция с 21 числа. И сегодня второй раз перенесли! Сказать,что расстроилась - не сказать ничего. Но это мелочи, мой хирург "обрадовала" меня тем,что нужны будут еще 2 операции и тем,что у меня киста верхнечелюстной пазухи,которая прилегает к левой шестерке.
Кто сталкивался с таким, расскажите, как решали эту проблемку?

28.04.2014 - 07:23

Ну, вот и я выпала в осадок(

Посмотрела коллажи. WT* Центры ужасные. Щели кошмарные. Я бы так не расстраивалась, если над ними велась видимая работа ( пружинки, механизмы)
А то орт сделал : припасовку дуги и все. Ни чего нового. ( Разве это вообще помогает передвигать зубы?)
Жуткое печалище( я не думала, что можно так расстраиваться ... тк то что есть, это лучше того что было) Но от чего же так (((((((((((хреново то
Центр, не в прикусе

9.24_prikus_.jpg
Читать далее »

28.04.2014 - 01:36

Долгожданное продолжение или "По пути к своей мечте" =)

И снова всем БОЛЬШУУУЩИЙ ПРИВЕТ!!!

Знаю, знаю, не дело это написать одну запись и пропасть в никуда. Я постараюсь сегодня исправиться. Сегодня моей ВЧ уже ровно 9 месяцев, НЧ 4 месяца 8 дней. Верхняя левая двойка наконец бесповоротно и окончательно, я надеюсь , встала на свое положенное место. Выровнялись клыки, которые изначально у меня были "заваленные" на бок. В начале же планировалось их выровнять и чуть вытянуть в низ, переклеив тем самым на них брекеты, но после моя ортофея сказала что делать этого не будем, все и так отлично встало на место) Читать далее »

Изменения за 1 месяц

Всем привет!

Желаю всем не разочаровываться в брекетах, любить их холить и лелеять.
К моему сожалению я уже это все ненавижу, это мягко сказано. О зубах уже не хочу говорить видеть их и вычищать по 10 раз на день.
За этот месяц изменения небольшие....
Сделала коллаж и сижу с надутыми губами... злюка я

изменения за 12й месяц и новый изгиб на дуге

Все очень раздражает, особенно мысли о том, что буду еще год в этих железяках ходить..
Всем терпения и удачи в лечении!

27.04.2014 - 20:27

Ну очень слабое движение..(((

Я в печали... Насмотрелась тут на супер движения зубов, и ожидала такого же... да и на Даймон надежда была большая..., Вот прошел месяц, а результаты минимальны..(( Муж вообще говорит что не видит разницы...((( Хочу побыстрее к орту может он меня чем то подбодрит...(((

1den-4nedeli2.jpg

27.04.2014 - 20:16

У кого так было?

Всем привет. 6 с лишним месяцев ношу брекеты.. и всё недовольна. Центр сместился, зубы все вперёд. Ничегошеньки не двигается, НЧ только, но её и меньше ношу. На фотографиях всё ещё хуже чем было.. губы огромные, если засмеюсь, улыбка лошадиная.. центр на боку.. всё хуже и хуже.
У кого так было? Боюсь, что так всё и застынет..перекошенным.

27.04.2014 - 19:36

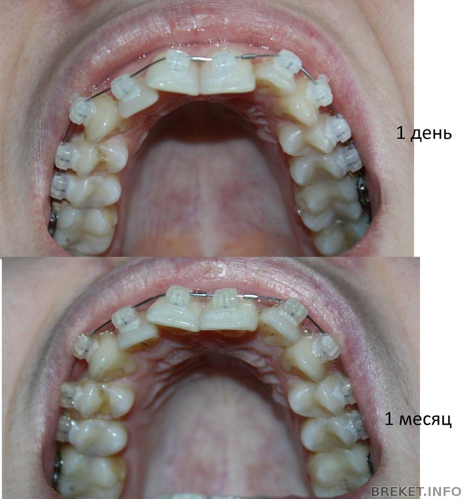
Два месяца. Челюсть стала Уже..

С одной стороны, конечно, все стало куда ровнее.
Но с другой - меня печалит тот факт, что челюсть как-то Уже стала.. То есть раньше, когда я улыбалась, то улыбка широкая получалась (даже еще до искривления зубов, до беременности), а теперь клыки подразвернулись, все как-то сузилось..
0-1-2 месяца

1 день

1 месяц

2 месяца

27.04.2014 - 10:48

Можно ли дугу загнуть в домашних условиях?

Под утро услышала хруст, отвалился тот же брекет с правой семёрки Первый раз отвалился в ночь установки
Дуга находится не горизонтально, а вертикально
Мешает говорить и кушать. На плановый приём 7 мая, раньше не хочу туда идти, потому что ортофея сказала: "Если отклеится брекет, то нужно ждать своего приёма" (она принимает раз в неделю, она единственная в моём городе)
Как вы думаете можно ли дугу загнуть или откусить чем нибудь?

27.04.2014 - 10:19