Дневники

Два месяца. Челюсть стала Уже..

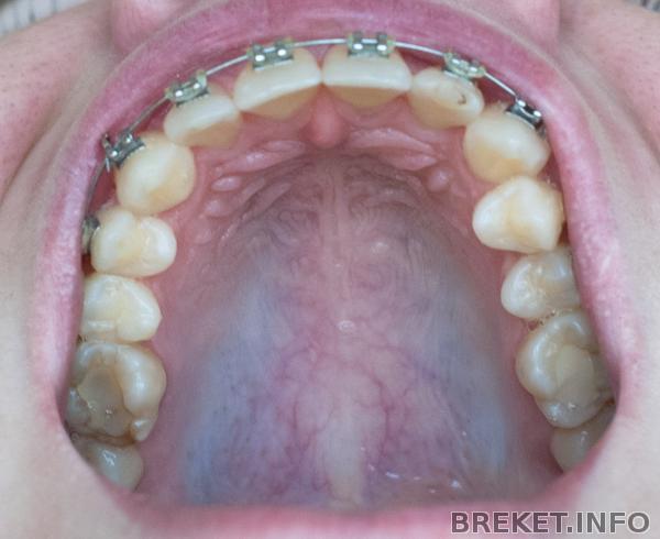
С одной стороны, конечно, все стало куда ровнее.
Но с другой - меня печалит тот факт, что челюсть как-то Уже стала.. То есть раньше, когда я улыбалась, то улыбка широкая получалась (даже еще до искривления зубов, до беременности), а теперь клыки подразвернулись, все как-то сузилось..
0-1-2 месяца

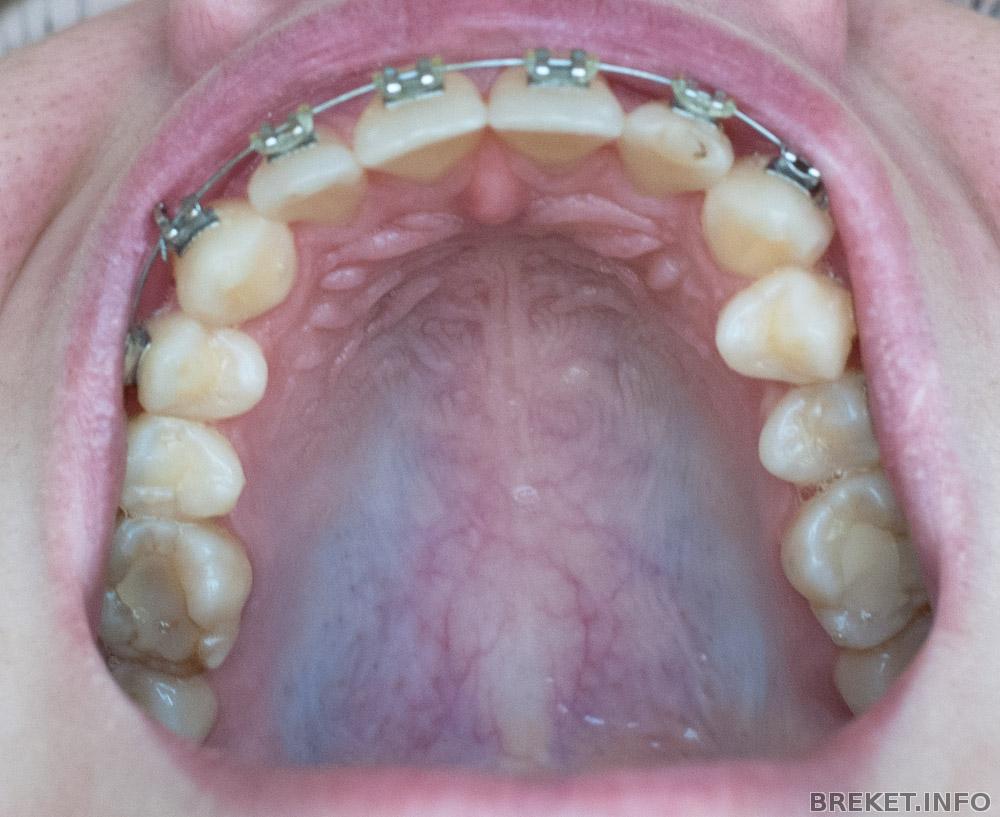
1 день

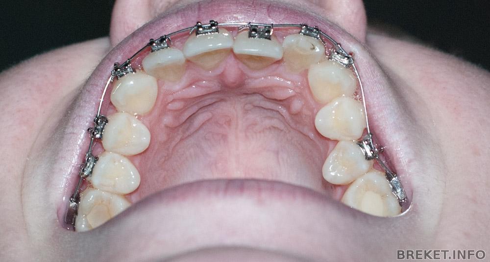
1 месяц

2 месяца

27.04.2014 - 10:48

Можно ли дугу загнуть в домашних условиях?

Под утро услышала хруст, отвалился тот же брекет с правой семёрки Первый раз отвалился в ночь установки
Дуга находится не горизонтально, а вертикально
Мешает говорить и кушать. На плановый приём 7 мая, раньше не хочу туда идти, потому что ортофея сказала: "Если отклеится брекет, то нужно ждать своего приёма" (она принимает раз в неделю, она единственная в моём городе)
Как вы думаете можно ли дугу загнуть или откусить чем нибудь?

27.04.2014 - 10:19

приятности))

маленькая запись
ортодонт,это единственный врач,который прописывает мне не таблетки после приема, а мороженое

27.04.2014 - 09:28

7 месяц... Не верится...

Ну что ж.. Давно тут не писала. Просто заходила смотреть, сколько месяцев прошло.. И не верится уже, что хожу в этом аду 7 месяцев.. Ну не знаю.. Смотрю фотографии.. без брекетов, с брекетами... 1 месяц, 2 месяц, 3... А сейчас 7! На фотке видно все абсолютно! Только, наверно, у меня центр смещен и зубы как не по прямой линии стоят... А кривая линия... Читать далее »

27.04.2014 - 08:45

Их только только поставили.. 27.04.2014

25.04.2014 14:00-14:35 поставили
Этим же вечером натерлась щека и начали болеть передние зубы
На нынешний момент привыкла к боли и натеранию
Воск тяжело впихивать..
Ожидаются брекеты на нижнюю челюсть
29.05.2014 утягиваю верхние

picture0060.jpg

27.04.2014 - 08:20

26.04.2014

Сегодня я переборола свой страх и наконец то установила керамические брекеты и теперь горжусь тем, что приблизилась к своей мечте!!!! Горжусь своей силой духа, так как это решение мне очччень нелегко далось.

26.04.2014 - 18:38

Установили на НЧ

Всем привет! Пролетели незаметно пять с половиной месяцев... Сегодня установили damon q на НЧ! Процесс описывать не буду-все стандартно На ВЧ поменяли дугу- теперь стоит 18 на 25 прямоугольная! Зубы болят нереально-Кетанов не помогает(( Читать далее »

26.04.2014 - 18:31

зубы

Нет это не боль, а беспоместное раздражение, раздражают дыры после удаления, когда, когда они исчезнут? Смотрю на какие жертвы идут люди, а я даже есть не хочу. Уже месяц, а результата нет....

26.04.2014 - 18:31

Мои зубки.

Вот и коллаж моих зубов в первые сутки после установки БС.
Не считая,что один замочек оторвался,то всё

brekety.jpg

26.04.2014 - 16:49