Дневники

29-1, а также много чего

Сто лет не захаживала!
Итак, распрощалась со всеми восьмерками!! О то прекрасное чувство - осознавать, что они не будут мешать тебе спокойно жить)))
И ведь на приеме еще была. Орт сказала - давай снимем. А я упорно стояла на своем, в результате - 2 пакета резинок для бокового смыкания и немного для центра. Теперь в итоге ношу их, когда закончу еще месяца два на закрепление. Вот как-то так!

12.04.2014 - 21:42

жить можно!)))))

Ахаха, вела сегодня себя как плохая девчонка))))
Подружки позвали в ресторан, давно не видились, и вот я, начинающий брекетоносец, который дома ест все только из под блендера, преодолевая боль, напившись вина, налопалась все же роллов! Это было чудесно! Хоть как то отвлеклась, подружки рассматривали мои брекеты со всех сторон, задавали кучу вопросов, потом мы так смеялись, что я поцарапала щеки.... что теперь с ними делать?
Но сегодня я поняла, что не буду себе отказывать в любимых радостях)
День удался)

Вот мне и поставили брекеты.

Вот и поставили мне брекеты. Дэймон клеар - десять сапфировых брекетов на верх, шесть сапфировых на низ. Остальное металл - но его и не видно совершенно. Первое ощущение после постановки - что жить с этим невозможно. Брекеты огромные и губы вообще не смыкаются. Говорить стыдно. Муж сказал, что это кошмар. Сейчас постепенно уже привыкаю - сходила к подруге в гости, она сказала, что смотрится вполне симпатично, внимания не привлекает. Читать далее »

ДУГА!!! подскажите !

Люди добрые!!! Кто знает...
Мне сегодня отрезали конец дуги... с последнего брекета (с кореного) зуба! Как бы...отсоединили дугу от последнего зуба! только с одной стороны ...
вопрос : зачем? Может кто доходчиво объяснит ...

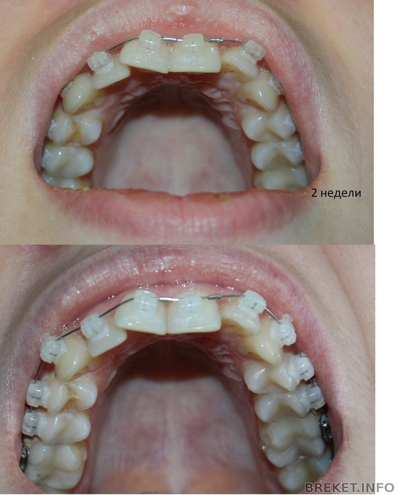
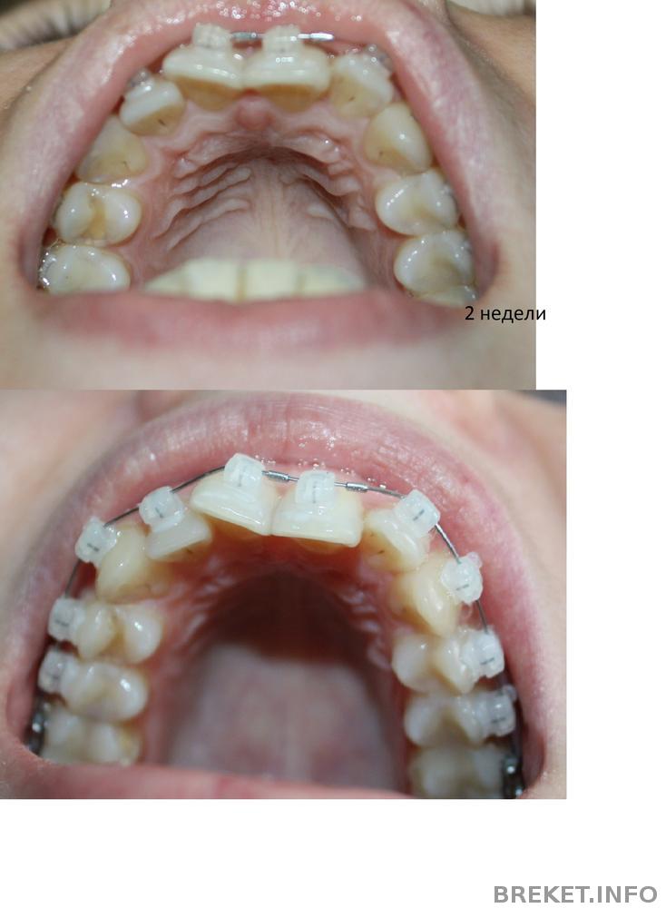
2 недели в брекетах))

Вот мой первый отчет за 2 недели..))) Меня пока радует)), Но муж говорит изменений практически нет... т.к фотки под разным углом сделаны...(((

img_1_den-2nedeli.jpg

Другой ракурс...((( менее впечатляющий..((

img_1_den-2nedeli2.jpg

За эти 2 недели я полностью привыкла к брекетам и мне удалили одну восьмерку... Теперь жду удаление второй, и 6 мая привет брекетам на НЧ)) Читать далее »

12.04.2014 - 18:37

Минипост

Зубы расползаются кто куда. Грусть-тоска.

img_20140412_070155.jpg

img_20140412_070419.jpg

img_20140412_065506.jpg

12.04.2014 - 18:18

Небольшой отчет)

Давненько я не делала записей. Решила выложить свои результаты за 5 месяцев)
Было:

imag1126.jpg

imag1125.jpg

На данный момент:

imag0696.jpg

imag0697.jpg

Очень жду момента, когда подойду к зеркалу, улыбнусь и увижу ровные зубки)

imag0690.jpg
Читать далее »

12.04.2014 - 17:24

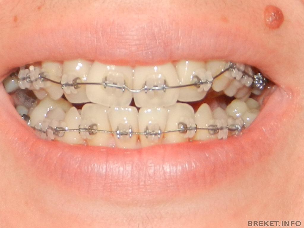
+1 в вашем ряду

Всем здравствуйте. Еще до установки БС наткнулась на данный форум и "зависла" на нем. Поэтому на установку БС шла во всеоружии, так сказать. Я очень часто просматривала фото до и после БС, результаты меня всегда поражали.
Как и все здесь "живущие" первое время я привыкала к БС. Если к ВЧ я привыкла за неделю, то к нижней адаптация шла дольше, думаю, что виной пломбы, т.к. прикус у меня глубокий и верхние зубы сорвали БС с нижних.

rscn34441.jpg
Читать далее »

12.04.2014 - 16:20

Давно не фоткала зубы

Знаю, что здесь народ - любитель снимать свои любимые зубы со всех сторон) Вот и я решила опять выложить то, что у меня получается. Не могу найти старые фотки, поэтому без них, сама сравнивала с тем, что уже выкладывала.

ВЧ

НЧ
Читать далее »

Форма лица

Очень давно не писала) Надеюсь, мое лечение подходит к концу... Донашиваю тяги и будем теперь работать над мелочами, но пост не об этом. Читать далее »

12.04.2014 - 15:56