Дневники

Эластики

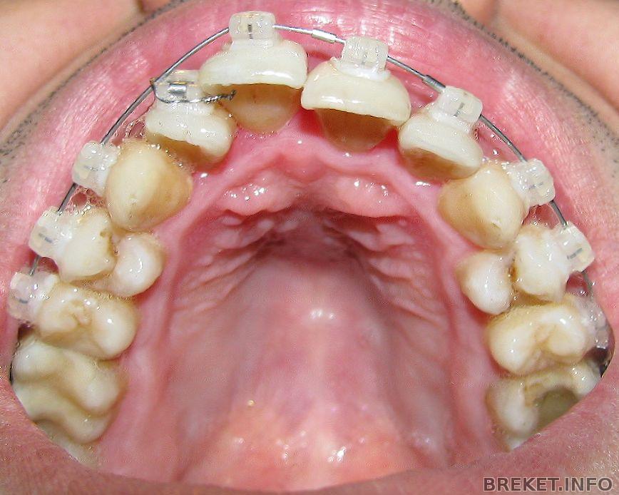
Ребята, кто носит или носил тяги! Нужна ваша помощь!

Как часто вы меняете резиночки? Снимаете во время еды и чистки? И как часто они у вас рвутся?

У меня эластики рвутся каждый день, стоит только широко открыть рот...((( Ношу выдр 4.5oz.

Всем привет!!!

Вот и я решила себе брекеты поставить. Решила тут зарегиться. Сайт очень интересный и познавательный. А самое главное, что можно, как говорится, от первого лица узнать, что тебе надо))) Мне уже 28 лет. Не знаю, что меня останавливало поставить брекеты...В школе делали съемную фигню на ВЧ, не помню., как она называется, так мне стоматолог попался не очень и я не носила, да еще и комплексы школьные...А потом и не знала, что зубки можно выпрямлять и во взрослом возрасте. А когда узнала, цена останавливала... В общем дотянула))) Читать далее »

14.04.2014 - 08:53

ЧЕРЕЗ МЕСЯЦ СЧАСТЬЕ!

bez_imeni-eeee.jpg

через месяц у меня прощальный вечер с дорогими железками) словами не передать мое счастье)
и конечно же самое долгое ожидание)
самый длинный мой месяц начинается =D

Почти полгода!!!

nvn_1030-2.jpg

nvn_1027-2.jpg

Незаметно прошло почти полгода)
НЧ прогрессирует понемногу! Беспокоит только этот нехочуха на НЧ В среду , надеюсь, еще подпилит и он встанет в ряд. Попробую, может быть, цветные лигатуры, если решусь Не могу определиться с цветом пока.
На ВЧ справа с 4-ки соскочила лигатура и ряд немного внутрь вернулся. На юбилей сделаю коллаж , обещаю!

13.04.2014 - 23:10

Чуть-чуть терпеть

Была у орта, назначили дату установки БС на ВЧ - 27 апреля. Обсудили лечение, срок 24 месяца, я в печали, но радует то, что в очередной раз она подтвердила, что ничего удалять не надо. На 6 и 7 оденут кольца, а что бы их одеть мне вставили какие то резинки между зубов. Ощущение первые пару часов были нормальные, чувствовала что давит и распирает. Сейчас это все усилось, рот закрыть не могу да еще и слюнок полный рот. Все чешется, хочется вытащить их и жить как раньше. Терплю. Выпила обезболивающие и сейчас пойду спать. Неужели за 2 недели, эти резинки создадут щель между зубов? Читать далее »

13.04.2014 - 22:46

без десяти четыре

Всем привет. Пока есть время, решил выложить несколько фотографий. Лечение проходит по плану (периодически отсылаю фотки орту вконтакте). Носить еще очень долго. Но ход времени заметно ускорился.
итак, напомню что имели до начала лечения

vch.jpg

dsc00578.jpg

при замене первой дуги (то есть почти два месяца назад)
img_0196.jpg
Читать далее »

13.04.2014 - 22:11

Мы вместе целый год ♥

Здравствуйте, дорогие брекетоносцы)
У нас с брекетами сегодня праздник: мы вместе ЦЕЛЫЙ ГОД
Конечно же, ещё остались некоторые неровности, однако результат не может не радовать
Хочу сказать, что я очень люблю свои брекеты Никогда их не стеснялась и не стесняюсь по сей день!

Мы целый год вместе

4 месяца

На ВЧ изменений практически никаких, кроме дуги, которая раздирает мне щеки) но уже лучше, чем было, первую неделю после установки брекетов на седьмые зубы вообще умирала) Может кажется, может нет, но 7ки подвинулись немного ближе к зубному ряду. Слева так точно. Справа пока не очень. Правый клык все так же не хочет больше залезть внутрь, а орт почему-то не хочет ему в этом помочь( и единицами моими тоже не хочет заниматься( не могу понять почему, это у него тактика такая или что?

ВЧ 4 месяца
Читать далее »

13.04.2014 - 15:27

Время

Время бежит с такой скоростью, что незаметно пролетели уже месяца моего лечения. Не за горами и знаменательная дата - год.

С верхом уже хожу почти 9 месяцев.
Что могу сказать по этом у поводу... дуга толстенная уже, изменения пока особо не происходят, но по сути там и практически нечему уже происходить. Верх ждет низ, что бы можно было начать ровнять прикус тягами. А еще на ближайшем приеме поинтересуюсь у орта когда мне цепочку ждать на верх. Читать далее »

2 день

Ну вот и утро,зубы ноют.
Иду на кухню,глотаю пищу целиком-ну и дела.
Собираюсь в стоматологию приклеивать не послушный замочек

10:00 Приклеили походу конкретно
Гигиена превыше всего,как это муторно всё делать,но красота требует...

Не привычно и разговариваю плохо.

13.04.2014 - 12:57