Дневники

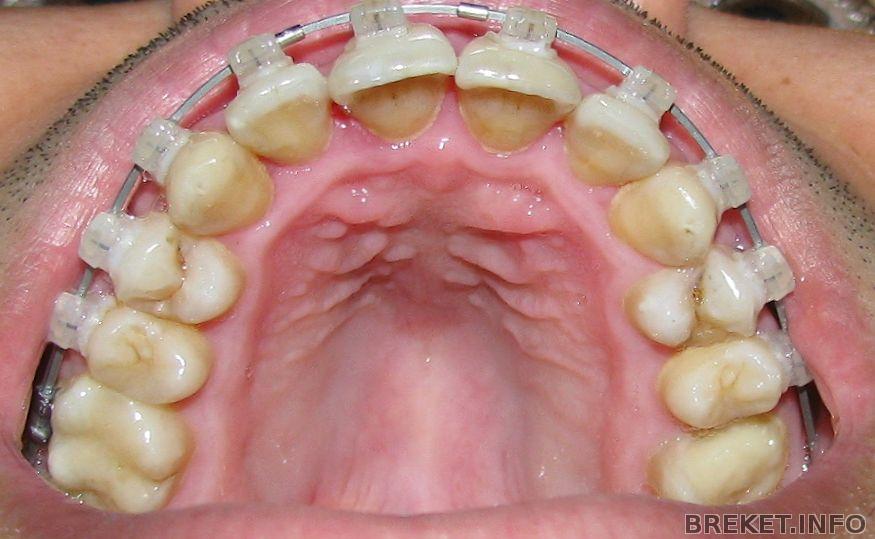
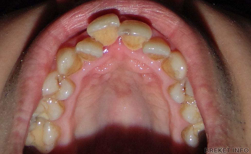
7 месяцев :)

ээх, как же быстро летит время и моим брекетам на вч уже 7 с лишним месяцев
решила прикрепить пару фоток, а что, потом интересно же будет прочитывать все свои записи после снятия))
1я фотка -утро после установки
2я фотка - пару дней назад

nawnvkvbsdo.jpg

uqydws4awsw.jpg

19.07.2014 - 19:53

First collage...

Первый коллаж...НЧ - пол года(ура-ура,большая дата),ВЧ - 3 месяца 26 дней

novyy_kollazh_zubyzuby.jpg

5 месяцев 22 дня

Всем привет!
Хочу показать свой результат за почти 6 месяцев.
У меня по прежнему ничего не болит. Побаливает после смены дуг, но не так, как тут описывает бОльшинство людей.
На НЧ стягивает дыру от 4-ки, в след месяце поставят последнюю дугу. А на ВЧ уже поставили последнюю. И за ночь разошлись передние зубы, образовав щель)
И в след месяце оденут цепочку, не знаю куда и зачем, мне это не интересно)
Я очень рада, и врач тоже. Зубы послушные, надоело видимо самим быть кривулями)
А вот и фото, сверху день установки, снизу на сегодняшний день. Читать далее »

четвертая пара

сегодня наконец испытал приятное чувство давления на зубы - мне поменяли дуги на обеих челюстях.
пока все идет хорошо. зубы двигаются, но работы еще много.
Выкладываю фото для наглядности. То, что было до брекетов и то, что сейчас - через почти 7 месяцев ношения брекет-системы.

vch.jpg

5.12.jpg

img_0485.jpg

img_0490.jpg
Читать далее »

18.07.2014 - 23:41

Взбесютые зубы))))

Всем доброго времени суток))) Мои зубы видимо удачно отметили три недели, потому что сегодня снова стали ужасно болеть, особенно семерки! Они одурели вообще на первой дуге болеть?))) Я думала такое только на мощной аппаратуре бывает))) Теперь мало того, что у меня продолжает адски болеть горло и терапевт с ЛОРом разводят руками и говорят "полощите", так еще и они меня мучают))) Не по теме: кто чем лечит горло? Какие сосалки, чем полоскаете? Читать далее »

18.07.2014 - 23:15

Скоро будет солнечно!

Всем привет! С сегодняшнего дня я прошусь в ваши ряды. Сегодня мне на вч установили комбинированные брекеты (до 4 включительно сапфир, а далее металл). Так решили сделать из-за величины зубов, ибо на 5-ку даже металл еле-еле поместился. А вот вниз мне поставили разобщающую каппу. Признаться честно, каппу я боялась больше всего, ибо написано о ней не очень много и что это за зверь представлялось с трудом. Месяц мне её носить в свободном режиме (для привыкания), а после рамки станут более жесткими. Нормально говорить в ней я смогла минут через 5 после установки, а есть еще не пробовала. Читать далее »

Ищем прогресс, или только кажется?

Сижу на этом прекрасном сайте меньше суток, не могу оторваться, читаю-читаю. Столько всего полезного, столько уже всего нашла что меня волновало и не с кем было поделиться и посоветоваться (ни у кого из близких друзей с кем можно было бы обсудить это БС нет). А тут такое счастье. Спасибо всем кто здесь пишет и делиться своими результатами. Вот я решила поделиться своими маленькими, но мне кажется все таки результатам. Моим брекетами 15 дней.

Прогресс

Сняла брекеты

Жаль что только в фотошопе буду мысленно приближаться к этому событию

vcvx.jpg

18.07.2014 - 11:51

Скоро полгода, результат пока не очень радует(((

Всем привет! Не писала месяца три, наверное. Да в общем и не о чем было писать. Если первые два месяца были результаты очень заметны. То последние где-то месяца три я визуально уже не замечаю никаких изменений. Есть у меня и с верху, и с низу по одному зубу, положение которых мне не нравится. И оно уже месяца два не меняется абсолютно. На последнем посещение высказала орту свое мнение о переклейке пары брекетов. На что она ответила, что нужно сделать рентген и смотреть по положению корней. Возможно, и придется переклеить. Это будет только в середине августа. Читать далее »

18.07.2014 - 11:34

Сняли!

Вот и сняли) Это пока наиболее адекватное фото

win_20140717_090754.jpg
Читать далее »

18.07.2014 - 08:51